Cargando pagina por favor espere...

  Inicio   |   Contactar   |   Aviso legal  
     

Caso 01

     
 

Autor:

 

Eva Reolon Earle

 

 

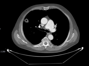
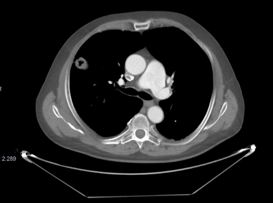
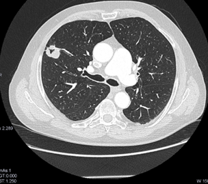
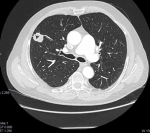
TC de tórax con contraste IV

TC de tórax con contraste IV

Haz click en las imágenes para verlas ampliadas

 

DIAGNÓSTICO DIFERENCIAL: