Cargando pagina por favor espere...

  Inicio   |   Contactar   |   Aviso legal  
     

Caso 01

     
 

Autor:

 

Elena Sánchez Navarro

 

 

Una tomografía computarizada del tórax está indicada:

  • Después de una lesión de tórax
  • Cuando se sospecha un tumor o masa (agregación de células)
  • Para determinar el tamaño, forma y posición de órganos en el tórax y en la parte superior del abdomen
  • Para buscar un sangrado o acumulaciones de líquido en los pulmones u otras áreas.

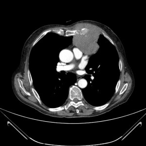
En este caso, la rx de tórax muestra una lesión compatible con una masa de la misma densidad que el corazón, y esta sospecha se ve reforzada por la presencia de una tumoración torácica palpable. Por lo que la prueba indicada sería el TAC de tórax para conocer la extensión, morfología así como la localización exacta de la masa.

Haz click en las imágenes para verlas ampliadas

 

La TAC nos ha permitido conocer la localización exacta y la extensión de la masa. ¿QUÉ OTRO ESTUDIO REALIZARÍA PARA PODER DIAGNOSTICAR CORRECTAMENTE AL PACIENTE?