| |
|
|
Caso 01 |
|
|
|
| |
Autor: |
|
Elena Sánchez Navarro |
|
|
DIAGNÓSTICO FINAL |
Entre las indicaciones de la BAG se encuentran:
- Establecer la naturaleza benigna o maligna de una lesión.
- Obtener material para el análisis microbiológico en pacientes sospechosos o con infecciones conocidas.
- Estadiar los pacientes con enfermedad maligna conocida o sospechada cuando se sospecha diseminación local o metástasis a distancia.
- Determinar la naturaleza y el alcance de determinadas enfermedades parenquimatosas difusas (por ejemplo , cirrosis hepática, renal rechazo del trasplante , glomerulonefritis).
- Obtener tejido para análisis de biomarcador, proteína, o genotipo para guiar posteriormente la terapia.
- Determinar el tumor primario en un paciente con metástasis y tumor primario desconocido.
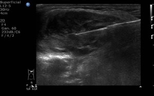
En este caso buscamos conocer la naturaleza benigna o maligna de la masa así como el tipo celular, por lo que lo adecuado para continuar con el diagnóstico es la BAG. Respecto a la forma de guiarla, al ser una lesión fácilmente accesible y bien localizable con ecografía, nos decantaremos por esta técnica, pues así evitamos irradiar al paciente de forma innecesaria.
Haz click
en las imágenes para verlas ampliadas
Tras el estudio de la muestra por anatomía patológica el diagnóstico definitivo es linfoma B de células gigantes.
DIAGNOSTICO FINAL: LINFOMA B DE CELULAS GIGANTES
COMENTARIO
Este tipo de linfoma representa aproximadamente uno de cada tres casos de linfoma no Hodgkin. Las células se ven bastante grandes cuando son observadas con un microscopio.
El linfoma difuso de células B grandes (DLBCL) puede afectar a cualquier grupo de edad, aunque ocurre principalmente en personas de edad avanzada (el promedio de edad es alrededor de los 65 años). Por lo general, comienza como una masa que crece rápidamente en un ganglio linfático, tal como en el pecho, en el abdomen en el cuello o en la axila. También puede aparecer en otras áreas como en los intestinos, en los huesos, o incluso en el cerebro o en la médula espinal.
Alrededor de uno de cada tres linfomas solo está en una parte del cuerpo (localizado) cuando se encuentra por primera vez. Los linfomas son más fáciles de tratar cuando están localizados que cuando se han propagado a otras partes del cuerpo.
El DLBCL es un linfoma de rápido crecimiento, pero a menudo responde bien al tratamiento ya que su rápida progresión explica que pueda ser diagnosticado en estadios precoces (I y II) a diferencia de lo que ocurre en otros linfomas de comportamiento Indolente.
|
|
BIBLIOGRAFÍA |
|
1. |
Expertos europeos en radiología y medicina nuclear, Real Colegio de Radiólogos del Reino Unido. Guía de indicaciones para la correcta solicitud de pruebas de diagnóstico por imagen. Luxemburgo: Oficina de Publicaciones Oficiales de las Comunidades Europeas; 2001. |
|
2. |
Bayo Berzosa A, Sánchez Hernández I, Melero Moreno C. Guía práctica de radiología de tórax para atención primaria. Madrid: Adalia farma; 2005. |
|
3. |
Yañez M, Le Favi G, Salvador D, Gálvez M, Baldi J, Gálvez V. Masas mediastínicas en radiografía: diagnósticos diferenciales según signos radiológicos y ubicación. En http://congreso.faardit.org.ar/uploads/2014/poster/2014_420_PE_Torax.pdf Fecha de acceso: Febrero, 2016. |
|
4. |
Clínica Dam. TAC torácica. En https://www.clinicadam.com/salud/5/003788.html Fecha de acceso: Febrero, 2016. |
|
5. |
From Gupta S, Wallace MJ, Cardella JF, Kundu, S, Miller DL, Rose SC; Society of Interventional Radiology Standards of Practice Committee. Quality improvement guidelines for percutaneous needle biopsy. J Vasc Interv Radiol 2010; 21: 969-975[30]. |
|
6. |
Basquiera A, Márquez M, Vijnovich A, Picon A, Zerga M. Linfoma difuso de células grandes B. En http://sah.org.ar/docs/251-274.5B.SAH_GUIA2012_LinfomaCelulasGrandes_1.pdf Fecha de acceso: Febrero, 2016. |
|
7. |
American Cancer Society. Tipos de linfoma no Hodgkin. En http://www.cancer.org/espanol/cancer/linfomanohodgkin/guiadetallada/linfoma-no-hodgkin-what-is-types-of-non-hodgkin-lymphoma Fecha de acceso: Febrero, 2016. |
|

|