Cargando pagina por favor espere...

  Inicio   |   Contactar   |   Aviso legal  
     

Caso 11

     
 

Autor:

 

Francisco Micol Andujar

 

 

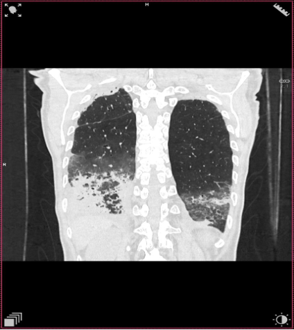
TC ventana pulmón
TC ventana pulmón

Haz click en las imágenes para verlas ampliadas