Cargando pagina por favor espere...

  Inicio   |   Contactar   |   Aviso legal  
     

Caso 03

     
 

Autor:

 

Paula Morales López

 

 

TC tórax con contraste ventana de parénquima
TC de tórax con contraste en ventana de mediastino o partes blandas
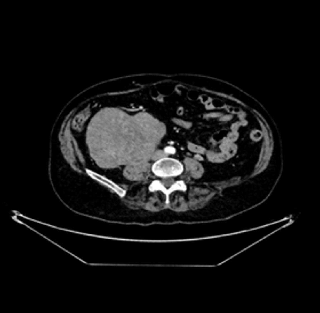
TC de abdomen con contraste en ventana de partes blandas

Haz click en las imágenes para verlas ampliadas