Cargando pagina por favor espere...
Inicio
|
Contactar
|
Aviso legal
Caso 08
Autor:
Jose Luis Fernandez Ceron
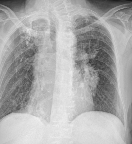
Rx PA de tórax en bipedestación
Haz click en las imágenes para verlas ampliadas
HALLAZGOS RADIOLÓGICOS
A
Opacidad heterogénea en vértice pulmonar derecho con engrosamiento pleural apical
B
Opacidad heterogénea en el vértice pulmonar derecho con derrame pleural
C
Opacidad difusa mal definida en el vértice pulmonar derecho con engrosamiento pleural apical
D
Opacidad difusa mal definida en el vértice pulmonar derecho con derrame pleural