Cargando pagina por favor espere...
Inicio
|
Contactar
|
Aviso legal
Caso 08
Autor:
Jose Luis Fernandez Ceron
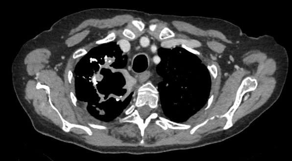
TC de tórax con contraste IV (ventana de mediastino)
Haz click en las imágenes para verlas ampliadas
HALLAZGOS RADIOLÓGICOS
A
Lesión apical derecha cavitada con pared gruesa irregular no calcificada, sin adenopatías mediastínicas
B
Lesión apical derecha cavitada con pared gruesa irregular con calcificaciones, sin adenopatías mediastínicas
C
Lesión apical derecha cavitada con pared gruesa irregular con calcificaciones y adenopatías mediastínicas
D
Lesión apical derecha cavitada con pared gruesa irregular no calcificada, con adenopatías mediastínicas