Cargando pagina por favor espere...

  Inicio   |   Contactar   |   Aviso legal  
     

Caso 07

     
 

Autor:

 

Nerea Herrero Fernandez

 

 

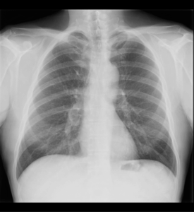
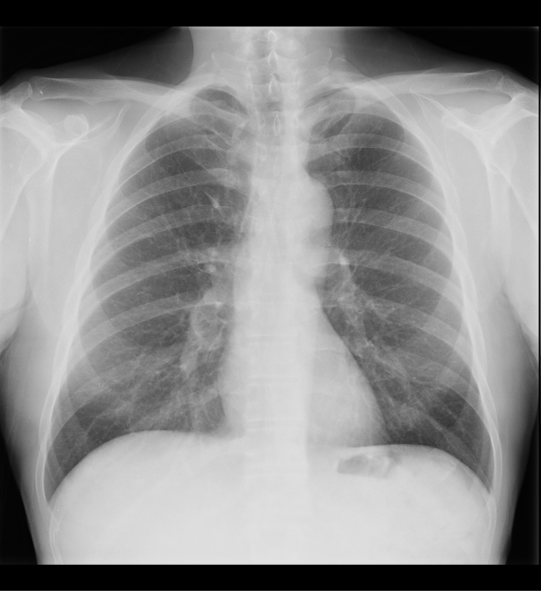
Rx PA de tórax

Haz click en las imágenes para verlas ampliadas