Cargando pagina por favor espere...
Inicio
|
Contactar
|
Aviso legal
Caso 06
Autor:
Daniela Ortega Tomas
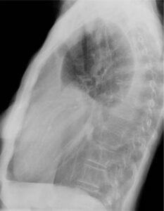
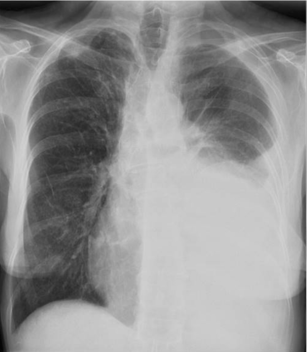
Rx PA tórax
Rx lateral tórax
Haz click en las imágenes para verlas ampliadas
HALLAZGOS RADIOLÓGICOS
A
Opacidad homogénea bien delimitada en el hemitórax izquierdo sin desplazamiento mediastínico hacia la izquierda.
B
Opacidad homogénea mal delimitada en el hemitórax izquierdo sin desplazamiento mediastínico hacia la izquierda.
C
Opacidad homogénea bien delimitada en el hemitórax izquierdo con desplazamiento mediastínico hacia la izquierda.
D
Opacidad homogénea mal delimitada en el hemitórax izquierdo con desplazamiento mediastínico hacia la izquierda.