Cargando pagina por favor espere...
Caso 06
Autor:
Daniela Ortega Tomas
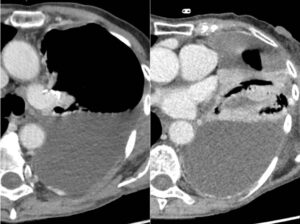
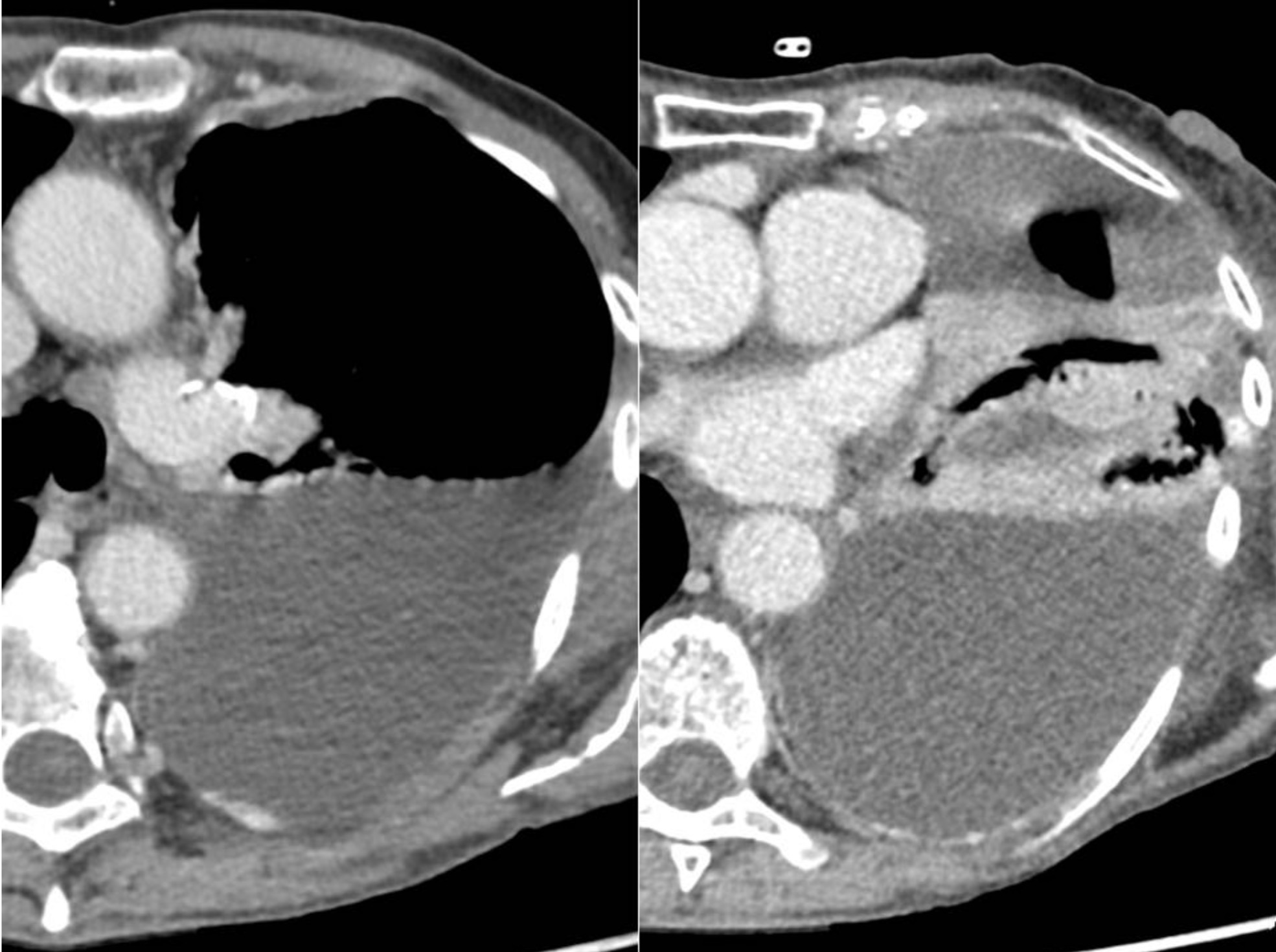
TC de tórax con contraste IV
HALLAZGOS RADIOLÓGICOS