Cargando pagina por favor espere...

  Inicio   |   Contactar   |   Aviso legal  
     

Caso 05

     
 

Autor:

 

Pedro Mendez Alcaraz

 

 

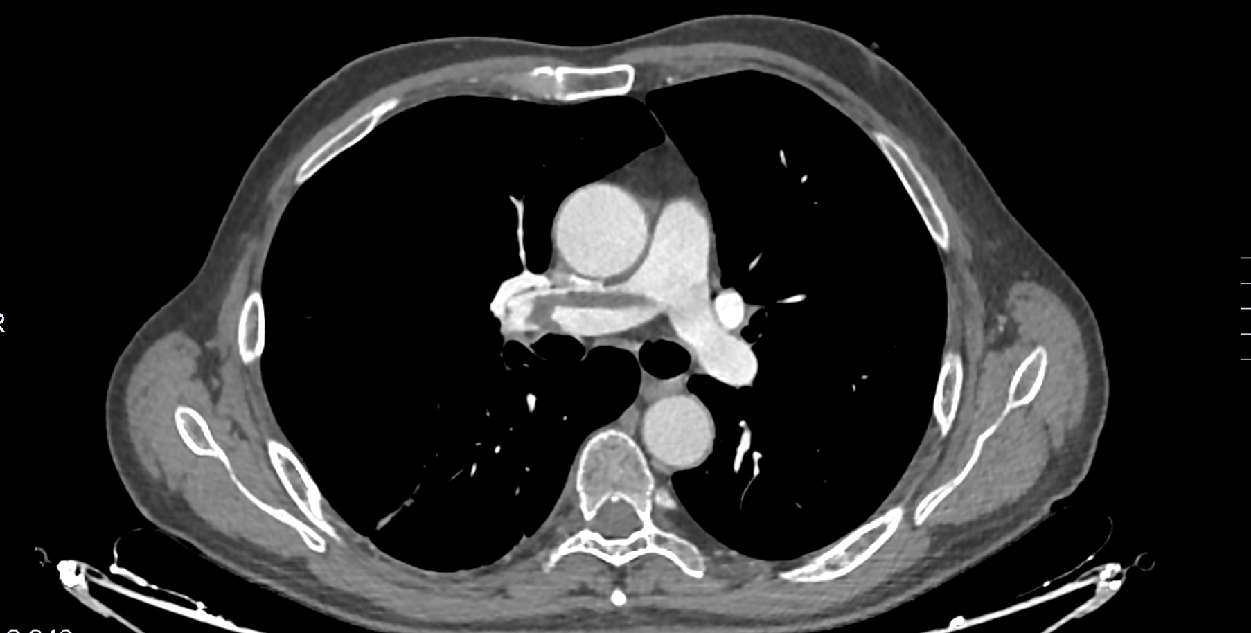
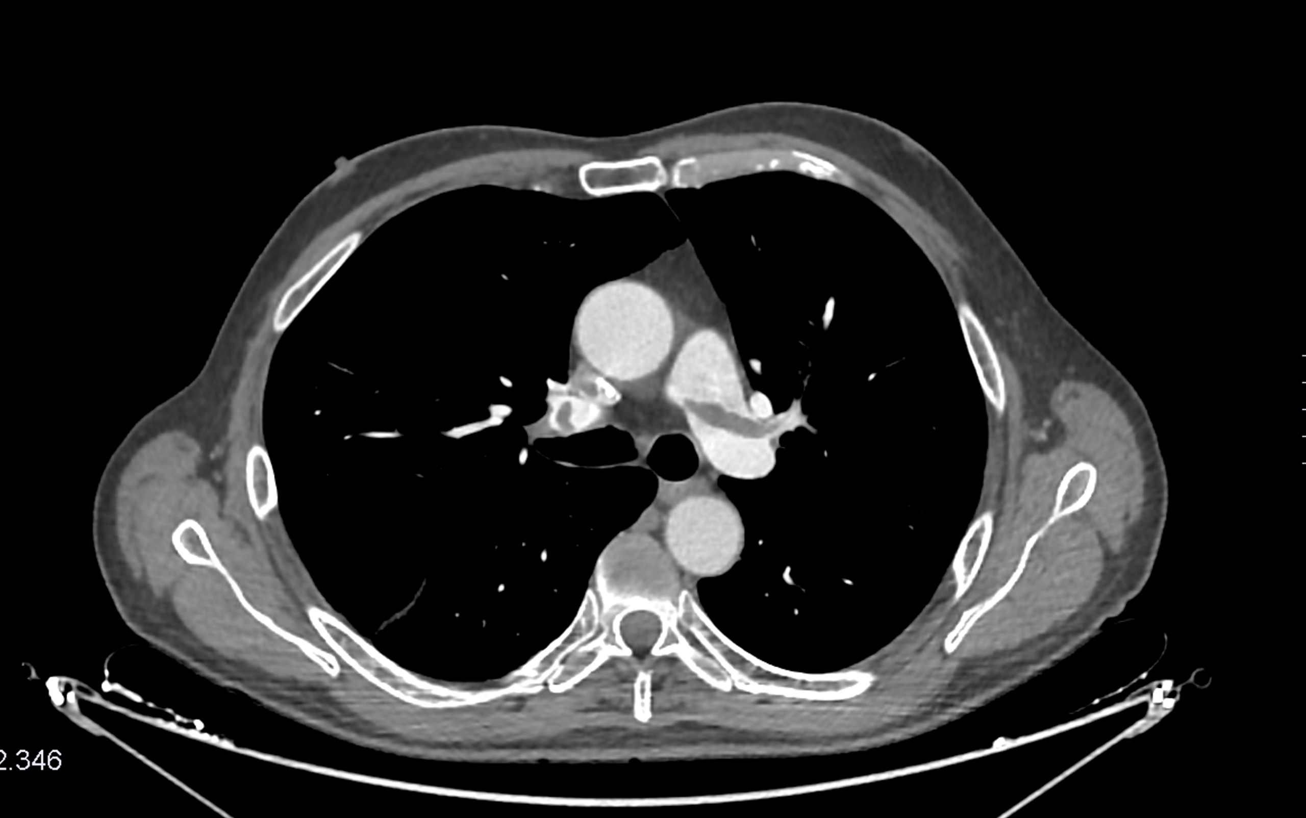
Angio-TC torácico con contraste i.v.

Angio-TC torácico con contraste i.v.

Haz click en las imágenes para verlas ampliadas