Cargando pagina por favor espere...

  Inicio   |   Contactar   |   Aviso legal  
     

Caso 05

     
 

Autor:

 

Pedro Mendez Alcaraz

 

 

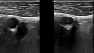
Ecografía Modo B (SIN Y CON compresión externa) de los miembros inferiores en el triángulo femoral.

Eco-Doppler de los miembros inferiores (CON comprensión externa) en la fosa poplítea.

Haz click en las imágenes para verlas ampliadas

 

HALLAZGOS RADIOLÓGICOS