Cargando pagina por favor espere...
Inicio
|
Contactar
|
Aviso legal
Caso 04
Autor:
Miguel Campoy Vecina
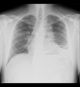
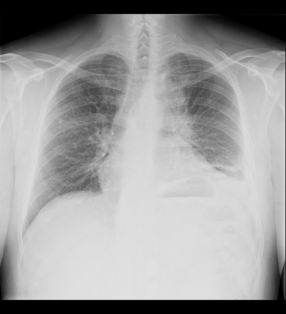
Rx de tórax
Haz click en las imágenes para verlas ampliadas
HALLAZGOS RADIOLÓGICOS
A
Ensanchamiento del cayado aórtico; ascenso de la cúpula diafragmática izquierda y obliteración del seno costofrénico.
B
Ensanchamiento del cayado aórtico; ocupación de la base torácica por una lesión con nivel hidroaéreo.
C
Pérdida de la silueta del cayado aórtico; ascenso de la cúpula diafragmática izquierda y obliteración del seno costofrénico.
D
Pérdida de la silueta del cayado aórtico; ocupación de la base torácica por una lesión con nivel hidroaéreo.