Cargando pagina por favor espere...
Inicio
|
Contactar
|
Aviso legal
Caso 04
Autor:
Miguel Campoy Vecina
TC de tórax
Haz click en las imágenes para verlas ampliadas
HALLAZGOS RADIOLÓGICOS
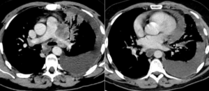
A
Masa pulmonar izquierda sin afectación broncovascular. Colección pleural y pericárdica.
B
Masa pulmonar izquierda sin afectación broncovascular. Colección pleural sin afectación pericárdica.
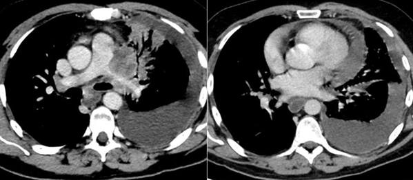
C
Masa pulmonar izquierda que afecta al bronquio izquierdo y estrecha la arteria pulmonar. Colección pleural y pericárdica.
D
Masa pulmonar izquierda que afecta al bronquio izquierdo y estrecha la arteria pulmonar. Colección pleural sin afectación pericárdica.