Cargando pagina por favor espere...

  Inicio   |   Contactar   |   Aviso legal  
     

Caso 03

     
 

Autor:

 

Olivia Raigal Muñoz

 

 

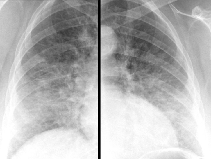
Radiografía de tórax PA en bipedestación

Haz click en las imágenes para verlas ampliadas