| |
|
|
Caso 03 |
|
|
|
| |
Autor: |
|
Olivia Raigal Muñoz |
|
|
DIAGNÓSTICO FINAL |
7. Diagnóstico final:
Linfangitis carcinomatosa
8. Discusión
La radiografía actúa como herramienta de orientación inicial. Si se detectan alteraciones sugestivas de enfermedad intersticial o infiltrativa, se puede indicar posteriormente una TC torácica, que ofrece mayor resolución espacial y mejor caracterización del parénquima pulmonar.
En la radiografía simple de tórax los hallazgos pueden ser variables y, en fases iniciales, incluso inexistentes, ya que aproximadamente entre el 30 y el 50 % de los pacientes con linfangitis carcinomatosa pueden presentar una radiografía normal.
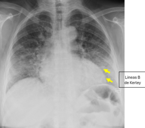
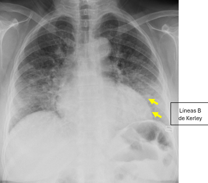
Cuando aparecen alteraciones radiológicas, el patrón más característico es un patrón intersticial reticular o reticulonodular, resultado de la infiltración tumoral de los vasos linfáticos pulmonares y del tejido intersticial. Este patrón se manifiesta como un aumento de la trama pulmonar con líneas finas que configuran una red irregular en ambos campos pulmonares. Uno de los signos radiológicos clásicos es el engrosamiento de los septos interlobulillares, que en radiografía puede manifestarse como líneas de Kerley, especialmente las líneas B de Kerley, visibles en las bases pulmonares como líneas cortas horizontales que contactan con la pleura. La distribución de las alteraciones suele ser bilateral y relativamente simétrica, con cierto predominio en los lóbulos inferiores.
La evaluación radiográfica se ve parcialmente limitada en este caso por el aumento de densidad en la pared torácica anterior, relacionado con la presencia de prótesis mamarias bilaterales secundarias a mastectomía previa. Las prótesis generan una mayor atenuación de los rayos X en la región anterior del tórax, lo que puede producir cierta superposición y disminuir la nitidez de la visualización del parénquima pulmonar adyacente, especialmente en las zonas inferiores y anteriores de los campos pulmonares.
Para una caracterización más precisa del patrón pulmonar solicitamos una TC de tórax simple. En este contexto no es necesario solicitar inicialmente una TC con contraste intravenoso, puesto que la sospecha diagnóstica se orienta hacia una enfermedad intersticial pulmonar. El contraste se utiliza principalmente para la valoración de estructuras vasculares, masas mediastínicas o lesiones tumorales sólidas, pero no mejora la visualización de las alteraciones del intersticio pulmonar, como el engrosamiento de los septos interlobulillares o los nódulos intersticiales.
El hallazgo más característico en TC es el engrosamiento de los septos interlobulillares, que puede presentarse de forma lisa, irregular o nodular. Este engrosamiento produce un patrón reticular que delimita los lobulillos pulmonares secundarios.Otro hallazgo frecuente es el engrosamiento del intersticio peribroncovascular, que refleja la infiltración tumoral de los vasos linfáticos que acompañan a las estructuras broncovasculares. Este engrosamiento puede observarse como bandas lineales que siguen el trayecto de los bronquios y vasos pulmonares. La TC también puede mostrar nódulos pulmonares de pequeño tamaño con distribución perilinfática, localizados a lo largo de los septos interlobulillares, en la región subpleural o alrededor de los haces broncovasculares.
En algunos casos pueden identificarse además opacidades en vidrio deslustrado, que reflejan afectación intersticial o alveolar asociada, así como adenopatías mediastínicas o hiliares y derrames pleurales, hallazgos que pueden coexistir con la infiltración linfática pulmonar.


|
|
BIBLIOGRAFÍA |
|
1. |
Robledo Gil DS, García Del Salto DL, De Miguel Criado DJ, Gutiérrez Velasco DL, Manzano Paradela DM, Gómez Trujillo D Álvaro, Pérez Eva DE, Fraga Rivas DP. Reconociendo la linfagitis carcinomatosa pulmonar . seram [Internet]. 26 de mayo de 2022 [citado 8 de marzo de 2026];1(1). Disponible en: https://piper.espacio-seram.com/index.php/seram/article/view/9110 |
|
2. |
Giménez Palleiro A, Franquet T. Patrones radiológicos en la enfermedad pulmonar intersticial. Sem Fund Es Reumatol [Internet]. 2013;14(4):97–105. Disponible en: http://dx.doi.org/10.1016/j.semreu.2013.05.002 |
|
3. |
Navarro Baño A, Martínez Martínez JF, Ibañez Caturla S, Páez Granda D, Rodríguez Sánchez D, Sarabia Tirado F. Linfangitis carcinomatosa:: Hallazgos en la radiografía de tórax y correlación con TCMD. seram [Internet]. 22 de noviembre de 2018 [citado 8 de marzo de 2026];. Disponible en: https://www.piper.espacio-seram.com/index.php/seram/article/view/1901 |
|
4. |
Rivas Q M, González C F. Signo radiológico: Las líneas de Kerley. Rev Chil Radiol [Internet]. 2015;21(2):76–8. Disponible en: http://dx.doi.org/10.4067/s0717-93082015000200008 |
|
5. |
Rodado Aranguren F, Hernández Muñiz S, Molina Novoa C, Zhan Chen D, De Benavides Bernaldo De Quirós C, Muñoz Carrasco P, Caballero Sanchez-Robles P. Engrosamiento septal pulmonar en TC: claves para su comprensión y abordaje diagnóstico. seram [Internet]. 22 de mayo de 2024 [citado 8 de marzo de 2026];1(1). Disponible:https://www.piper.espacio-seram.com/index.php/seram/article/view/10377 |
|

|