Cargando pagina por favor espere...
Inicio
|
Contactar
|
Aviso legal
Caso 03
Autor:
Olivia Raigal Muñoz
Tomografía computarizada de tórax con contraste IV
Haz click en las imágenes para verlas ampliadas
Hallazgos radiológicos
A
Opacidades lineales y nodulares basales izquierdas
B
Opacidades nodulares basales izquierdas
C
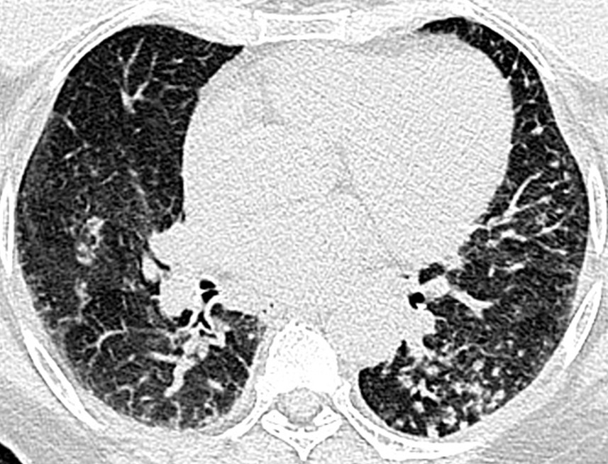
Opacidades lineales bilaterales, y nodulares basales izquierdas
D
Opacidades nodulares basales bilaterales