Cargando pagina por favor espere...

  Inicio   |   Contactar   |   Aviso legal  
     

Caso 02

     
 

Autor:

 

Ainhoa Marin Martinez

 

 

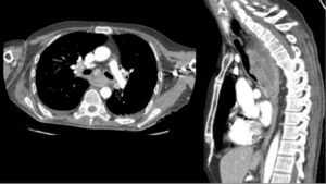
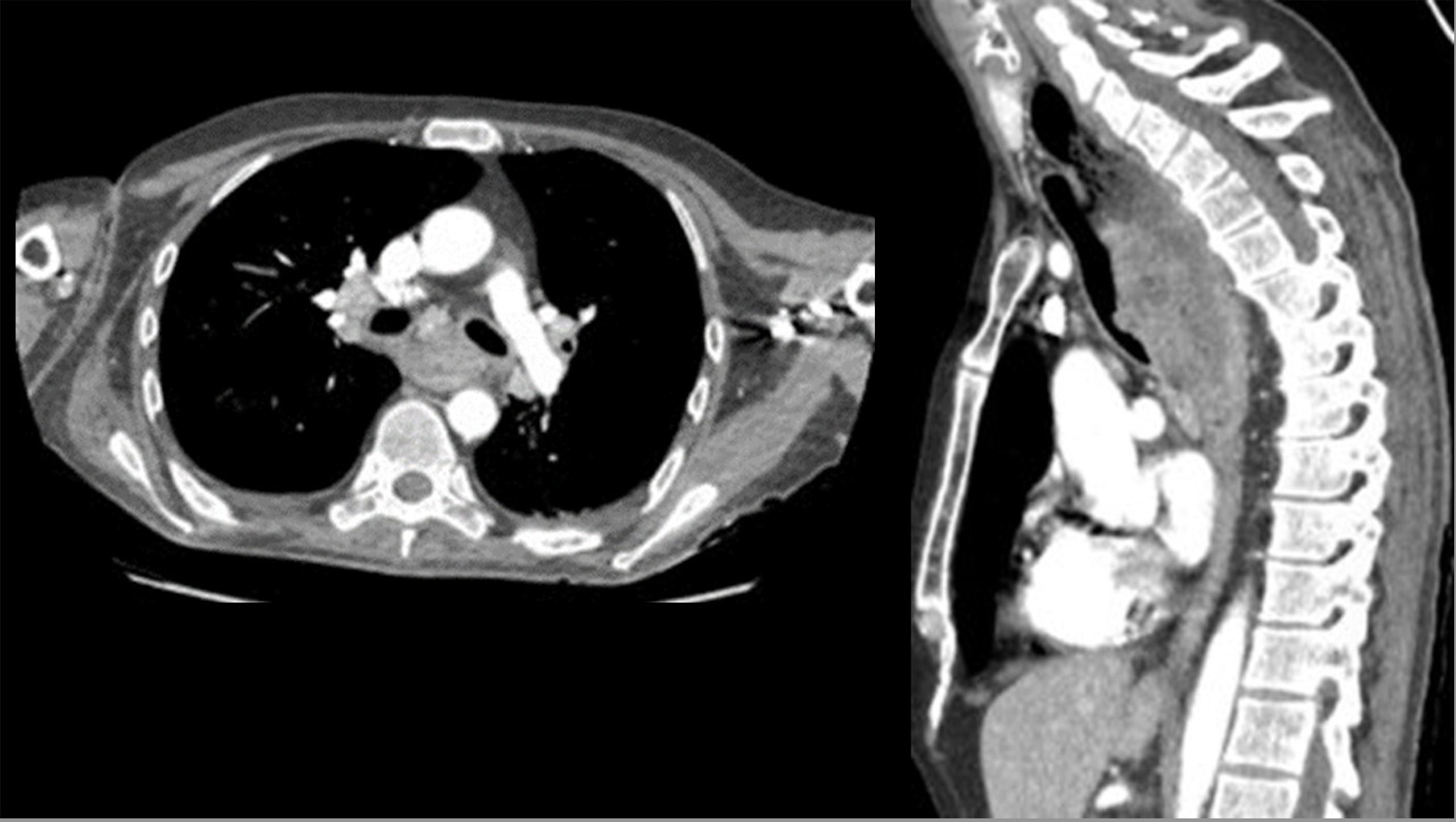
TC de tórax con contraste i.v

Haz click en las imágenes para verlas ampliadas