Cargando pagina por favor espere...

  Inicio   |   Contactar   |   Aviso legal  
     

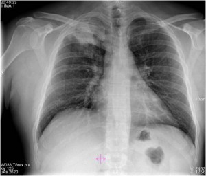
Caso 56

     
 

Autor:

 

Ana Tapia Abellán

 

 

Haz click en las imágenes para verlas ampliadas

 

¿Qué hallazgos radiológicos se pueden observar en la imagen?