Cargando pagina por favor espere...

  Inicio   |   Contactar   |   Aviso legal  
     

Caso 55

     
 

Autor:

 

Juan Diaz Ferrando

 

 

DIAGNÓSTICO FINAL

Diagnóstico final: Tumor carcinoide.

Discusión radiológica:

Cuando nos encontramos con un paciente que acude por dolor torácico, la secuencia diagnóstica comienza por realizar una radiografía simple. Esta se debe hacer en dos proyecciones, posteroanterior y lateral, y con el paciente en bipedestación. En el caso de que no se pudiera realizar en bipedestación, se hará una proyección anteroposterior con el paciente en decúbito supino.

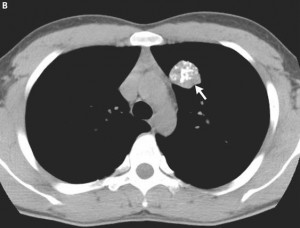
Una vez estudiados los hallazgos radiológicos que nos ofrece la radiografía simple, que en el caso que nos atañe se trata de un nódulo radiodenso en el lóbulo superior derecho, pasaríamos a realizar una prueba complementaria, que en este caso sería la TC simple. Hemos visto las ventajas que esta prueba complementaria tiene. Sin embargo, también se podrían realizar otras pruebas de imagen, como la TC con contraste, la resonancia magnética o el PET-TAC. Para el diagnóstico de un tumor carcinoide estaría indicado realizar un TC con contraste, ya que son tumores normalmente hipervasculares, por lo que con el contraste realzan muy bien. Ante la sospecha de un tumor carcinoide (tumor neuroendocrino) otra prueba diagnóstica que se podría realizar sería un octreoscan. Este estudio radiológico se trata de una gammagrafía de receptores de somatostatina. Se trata de inyectar en el paciente un análogo de la somatostatina, y observar si el nódulo realza, ya que los tumores neuroendocrinos tienen alta densidad de receptores para somatostatina. Además, este tipo de estudios no sólo nos localiza el tumor, sino que también nos pueden informar sobre posibles metástasis que existan.

El patrón radiológico observado nos lleva a pensar en un tumor carcinoide, un tumor neuroendocrino que se origina de células endocrinas de los bronquios principales y de los conductos de las glándulas mucosas. Es un tumor central, de los bronquios principales, que crece como una masa que ocluye parcialmente el bronquio. Al menos ¾ del tumor es intramucoso (típico crecimiento en iceberg o reloj de arena). Representan el 1-2% de las neoplasias traqueobronquiales. La imagen radiológica es una lesión bien definida, redondeada u ovalada de 2-5 cm. Pueden calcificar. Suelen ser hipervasculares y realzar en la TC con contraste. Raramente tienen un patrón invasivo o son multifocales. Hay tumores carcinoides atípicos, que son de mayor tamaño, presentan necrosis, suelen localizarse en la periferia del árbol bronquial y pueden ser localmente invasivos. Los tumores carcinoides tienen varias formas de presentación:

1. Masa hiliar o perihiliar: estrechan, deforman o comprimen la vía aérea adyacente. Raramente tienen un patrón invasivo o son multifocales. Pueden presentar calcificaciones de forma difusa. Suelen ser hipervasculares con realce en la TC con contraste. Ambos puedes relacionarse con adenopatías mediastínicas.

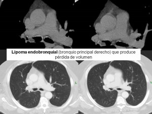
2. Nódulo endobronquial: Hallazgos derivados de la obstrucción bronquial:

- Oclusión parcial: produce efecto de válvula y consecuentemente atrapamiento aéreo o hiperinsuflación.

- Obstrucción completa: atelectasia o neumonía postobstructiva.

- Infecciones recurrentes distales al tumor: bronquiectasias o abscesos pulmonares.

- Retención mucosa distal al tumor: impactación mucosa (broncocele, mucocele) sin atelectasia: en estos casos produce la denominada imagen en “dedos de guante” en Rx y lesiones centrales locales de densidad líquida sin realce en TC.

3. Nódulos periféricos: alrededor de un 30%. Suelen tener estirpe atípica.

No podemos hacer un diagnóstico final de tumor carcinoide sin haber antes hecho un diagnóstico diferencial con otras posibles patologías, como por ejemplo el hamartoma o el lipoma endobronquial. Este diagnóstico diferencial nos lo dará la broncoscopia.

Haz click en las imágenes para verlas ampliadas

 

 

BIBLIOGRAFÍA

1.

Goodman L. Felson principios de radiología torácica. Madrid [etc.]: McGraw-Hill/Interamericana de España; 2010: 1-29.

2.

Ortun?o Pacheco G, Marti?nez Díaz F, Pastor Quirante F. Lección 10: tumores bronco-pulmonares. Lecciones de anatomía patológica especial para estudiantes de medicina. Murcia: DM; 2011: 102-103.

3.

Yellin A, Tzila Zwas S, Rozenman J, Simansky D, Goshen E. Experience with Somatostatin Receptor Scintigraphy in the Management of Pulmonary Carcinoid Tumors. The Israel Medical Association Journal. 2005; 7:712-715.

4.

Ferreirós J, Cabeza B, Gayete A, Sánchez M, Torres M.I, Cobo M, et al. Recomendaciones para el diagnóstico radiológico y la valoración de la respuesta terapéutica en el cáncer de pulmón. Consenso nacional de la Sociedad Española de Radiología Médica y la Sociedad Española de Oncología Médica. Radiología. Enero-Febrero 2015; 57 (1): 66-78.

5.

Granberg D, Sundin A, Tiensuu E, Öberg K, Skogseid B, Westlin J. Octreoscan in patients with bronchial carcinoid tumours. Clinical endocrinology. Diciembre 2003; 59 (6): 793-799.

6.

Papel del Octreoscan y del PET/TAC en el diagnóstico y seguimiento de los pacientes con TNEs. En: https://getne.org/profesionales/papel-del-octreoscan-y-del-pet-tac-en-el-diagnostico-y-seguimiento-de-los-pacientes-con-tnes/ Fecha de acceso: abril, 2019.

Finalizar