Cargando pagina por favor espere...

  Inicio   |   Contactar   |   Aviso legal  
     

Caso 44

     
 

Autor:

 

José Antonio Blanco Zaragoza

 

 

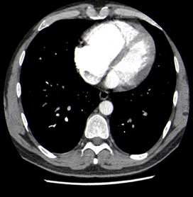
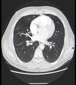
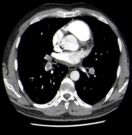
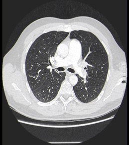
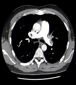
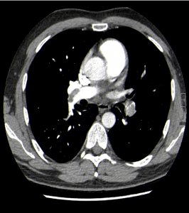
Nuestro paciente tiene síntomas respiratorios y un valor elevado de Dímero D. El Angio-TC nos permite hacer una valoración más detallada del estado de la anatomía vascular pulmonar así como del del corazón: También nos va a proporcionar una visión más en detalle del parénquima pulmonar.

Haz click en las imágenes para verlas ampliadas