Cargando pagina por favor espere...

  Inicio   |   Contactar   |   Aviso legal  
     

Caso 36

     
 

Autor:

 

Beatriz Navarro Valverde

 

 

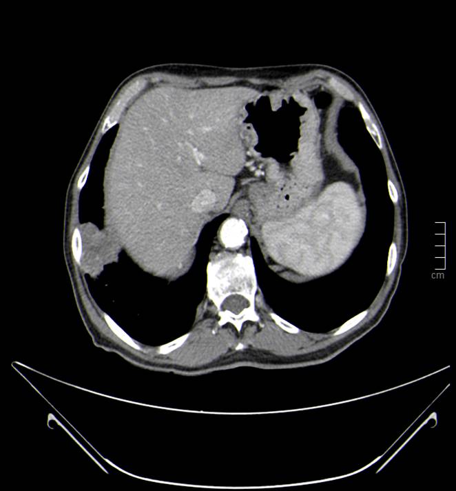
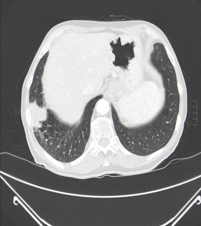
Masa en lóbulo inferior derecho (LID), compatible con neoplasia primaria pulmonar.

Haz click en las imágenes para verlas ampliadas