Cargando pagina por favor espere...

  Inicio   |   Contactar   |   Aviso legal  
     

Caso 13

     
 

Autor:

 

Elena Giménez Arias

 

 

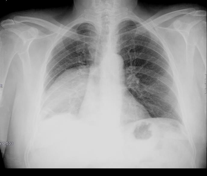
La Rx PA de tórax está indicada como técnica de primera elección en el estudio del aparato respiratorio, vía aérea y parénquima pulmonar, ya que aporta una visión general de forma rápida y precisa del estado cardiorrespiratorio del paciente. La proyección lateral, por su parte, es útil para valorar las zonas situadas detrás del corazón y las áreas paravertebrales y posterobasales. Es una técnica accesible y sencilla, que no precisa preparación previa.

Haz click en las imágenes para verlas ampliadas