Cargando pagina por favor espere...
Caso 25
Autor:
Justo Marín Noguera
Haz click en las imágenes para verlas ampliadas
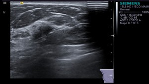
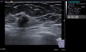
HALLAZGOS ECOGRÁFICOS