Cargando pagina por favor espere...

  Inicio   |   Contactar   |   Aviso legal  
     

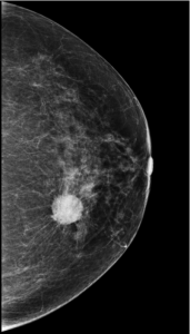
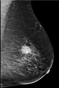
Caso 22

     
 

Autor:

 

Ana Soledad Soto Cerezo

 

 

Explicación: Al tener 85 años, la mama tendrá un patrón graso y la lesión se verá fácilmente. Se hacen ambas proyecciones para tener una visión completa de la mama.

Haz click en las imágenes para verlas ampliadas