| |
|
|
Caso 15 |
|
|
|
| |
Autor: |
|
Dolores Hernández Gómez |
|
|
DIAGNÓSTICO FINAL |
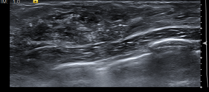
La ECO constituye el complemento ideal de la mamografía. Un nódulo sólido (fibroadenoma o cáncer) presenta la misma densidad radiológica que un nódulo líquido (quiste), por ello la ecografía permite distinguir sin problemas el contenido líquido del sólido. Sin embargo, tiene como limitación el hecho de que no es posible obtener una visión de toda la mama en una sola imagen. Pueden por tanto pasar fácilmente
desapercibidas lesiones pequeñas, La ecografía nos es útil para controlar la punta de la aguja en caso de punciones guiadas.
Haz click
en las imágenes para verlas ampliadas
Mama hipoecogenica heterogénea con múltiples focos ecogénicos en relación con microcalcificaciones vistas en mamografía. lo anterior, se corresponde a un BIRADS 6, que se corresponde con un carcinoma ductal localmente avanzado con diagnóstico anatomopatológico.
DIAGNÓSTICO FINAL: CARCINOMA DUCTAL LOCALMENTE AVANZADO.
|
|
BIBLIOGRAFÍA |
|
1. |
“Development and validation of algorithms to differentiate ductal carcinoma in situ from invasive breast cancer within administrative claims data” by Hirth JM, Hatch SS, Lin Y, Giordano SH, Silva HC, Kuo Y. Cancer. 2019 Apr 1;125(7):1200. doi: 10.1002/cncr.31886. Epub 2019 Jan 16. PubMed PMID: 30875106. |
|
2. |
“Development and validation of algorithms to differentiate ductal carcinoma in situ from invasive breast cancer within administrative claims data” by Hirth JM, Hatch SS, Lin Y, Giordano SH, Silva HC, Kuo Y. Cancer. 2019 Apr 1;125(7):1200. doi: 10.1002/cncr.31886. Epub 2019 Jan 16. PubMed PMID: 30875106. |
|
3. |
Ramírez-González LD, Juárez-Aguilar FG. Metastases of ductal carcinoma of the breast in the esophagus. Case report. Rev Med Inst Mex Seguro Soc. 2019 Mar 15;56(6):562-565. Spanish. PubMed PMID: 30889346. |
|

|