Cargando pagina por favor espere...

  Inicio   |   Contactar   |   Aviso legal  
     

Caso 13

     
 

Autor:

 

Nuria Egea Pérez

 

 

DIAGNÓSTICO FINAL

DIAGNÓSTICO FINAL: Nódulo BIRADS 4 en cuadrante superoexterno en mama izquierda.

A la paciente se le somete a una mamografía pues es la prueba de elección ante un nódulo palpable en una mujer mayor de 35 años. En los resultados encontramos unas mamas de patrón tipo A (grasas) y asimétricas; un nódulo denso en CSE MI de márgenes irregulares de alta sospecha de malignidad (mide 4,4 cm de diámetro mayor); escasas microcalcificaciones dispersas y calcificaciones vasculares bilaterales de aspecto benigno.

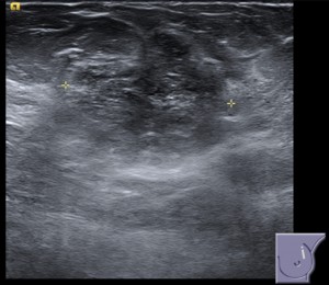
Ante estos hallazgos, la prueba complementaria a realizar sería la ecografía, para valorar mejor el nódulo. Observamos un nódulo heterogéneo, isoecogénico y palpable en CSE MI, de márgenes parcialmente definidos, de alta sospecha de malignidad y asociados a cambios inflamatorios regionales.

El diagnóstico fue un nódulo BIRADS 4 en CSE MI, palpable, con cambios inflamatorios asociados en ecografía. Se realizó una BAG. Se necesitarían los resultados de anatomía patológica para poder dar un diagnóstico preciso.

Haz click en las imágenes para verlas ampliadas

 

 

Finalizar