Cargando pagina por favor espere...

  Inicio   |   Contactar   |   Aviso legal  
     

Caso 06

     
 

Autor:

 

Nerea Moreno

 

 

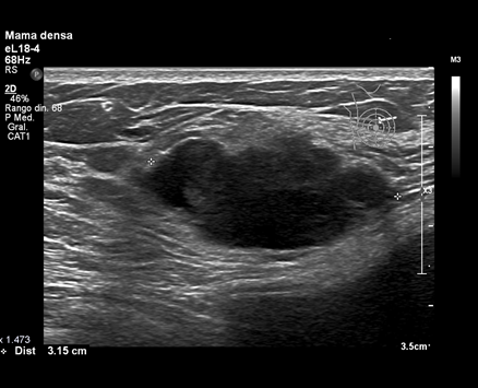
La ecografía mamaria es el método de imagen más utilizado en el estudio de la patología mamaria como complemento de la mamografía. Su utilización de forma conjunta ha demostrado una mejora en la precisión diagnóstica. Entre sus ventajas se encuentra el bajo coste, la accesibilidad y la ausencia de radiaciones ionizantes. Indicaciones: caracterización de masas palpables y no palpables, valoración de hallazgos clínicos y mamográficos, guía de procedimientos intervencionistas y estudio de mujeres con implantes mamarios. También ha demostrado su capacidad de caracterizar nódulos mamarios, ayudando a diferenciar lesiones benignas de lesiones malignas. Es la prueba de elección en el estudio axilar.

Haz click en las imágenes para verlas ampliadas