Cargando pagina por favor espere...
Caso 04
Autor:
María Esther Estornell Cánovas
Haz click en las imágenes para verlas ampliadas
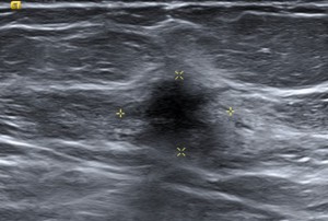
HALLAZGOS RADIOLÓGICOS