Cargando pagina por favor espere...

  Inicio   |   Contactar   |   Aviso legal  
     

Caso 13

     
 

Autor:

 

Juan Carlos Tomás Mira

 

 

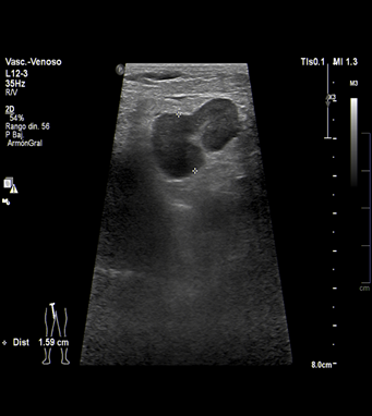
La ecografía es actualmente la técnica de elección para el estudio de la trombosis venosa de las extremidades. No sólo permite un adecuado estudio morfológico de la pared de las venas y de su luz; el Doppler es capaz de valorar en tiempo real y sin necesidad de medios de contraste la presencia y las características del flujo en su interior.

Haz click en las imágenes para verlas ampliadas

Las imágenes que se muestran corresponden a la ecografía doppler color en el área inguinal izquierda.