Cargando pagina por favor espere...

  Inicio   |   Contactar   |   Aviso legal  
     

Caso 13

     
 

Autor:

 

Juan Carlos Tomás Mira

 

 

DIAGNÓSTICO FINAL

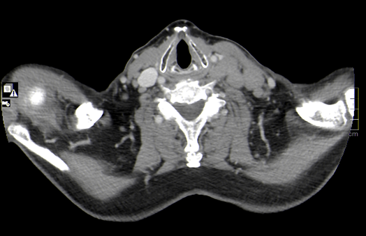
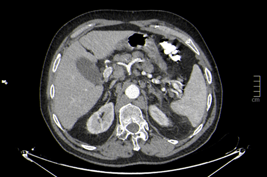
Esta prueba se realiza debido a que se trata de unas adenopatías con sospecha de malignidad, por lo que se ha de valorar si existe tumor primario a algún nivel y si existen otros conglomerados adenopáticos.

Haz click en las imágenes para verlas ampliadas

HALLAZGOS RADIOLÓGICOS

Se observan ganglios aumentados de tamaño con afectación cervical, torácica, abdominal, pélvica e inguinal.

DIAGNÓSTICO FINAL: linfoma no hodking tipo B.

Tras realizar una biopsia de ganglio inguinal, se diagnostica con linfoma no hodking tipo B.

El análisis histológico es la forma definitiva de establecer el diagnóstico en un paciente con sospecha del linfoma. Una vez establecido el diagnóstico es importante determinar el sitio y extensión de la enfermedad, es aquí donde los métodos de imagen seccionales cobran relevancia en la estadificación radiológica de la enfermedad.

La radioterapia se puede utilizar para tratar el linfoma no Hodgkin en diferentes situaciones:

* Se puede emplear como el tratamiento principal para algunos tipos de linfoma no Hodgkin si se encuentran en etapas iniciales (etapa I o II), ya que estos tumores responden muy bien a la radiación.

* Algunas veces, se usa la radiación junto con la quimioterapia para tratar los linfomas más avanzados y algunos linfomas que son más agresivos.

* Para tratar de eliminar las células del linfoma que están por todo el cuerpo, las personas que se someterán a un trasplante de células madre pueden recibir radiación a todo el cuerpo junto con alta dosis de quimioterapia.

* La radioterapia se puede utilizar para aliviar (paliar) los síntomas causados por un linfoma que se ha propagado a órganos internos como el cerebro o la médula espinal, o cuando un tumor está causando dolor porque ejerce presión sobre los nervios.

 

 

BIBLIOGRAFÍA

Finalizar