Cargando pagina por favor espere...

  Inicio   |   Contactar   |   Aviso legal  
     

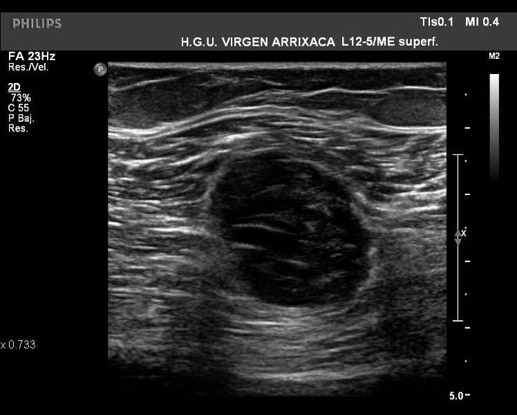
Caso 10

     
 

Autor:

 

Adrián Lacárcel Sánchez

 

 

La ecografía nos permite averiguar la naturaleza de la lesión (óseo, muscular, subcutáneo…) sin aplicar radiación y de una manera relativamente sencilla.

Tras la realización de la ecografía en el muslo derecho de la paciente, obtenemos las siguientes imágenes:

Haz click en las imágenes para verlas ampliadas