Cargando pagina por favor espere...

  Inicio   |   Contactar   |   Aviso legal  
     

Caso 25

     
 

Autor:

 

Mª Nazaret Olmos García

 

 

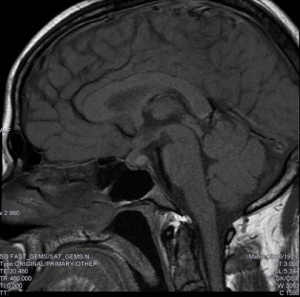
Explicación: Se requiere una RMN craneal para completar el estudio, puesto que esta nos puede proporcionar más información morfológica con respecto a la lesión, sobre todo con fines quirúrgicos.

En la prueba encuentras la siguiente imagen:

Haz click en las imágenes para verlas ampliadas