Cargando pagina por favor espere...

  Inicio   |   Contactar   |   Aviso legal  
     

Caso 22

     
 

Autor:

 

Pedro Jose Castell Navarro

 

 

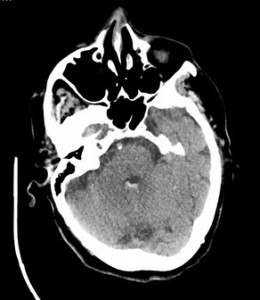
Explicación: Ante un código ictus se debe realizar siempre de entrada un TC sin contraste. Es la primera técnica de elección, tiene una sensibilidad próxima al 100%. La TC permite diferenciar con gran precisión un ictus isquémico de uno hemorrágico y descartar la presencia de lesiones intracraneales de origen no vascular causantes del cuadro ictal, como tumores o hematomas subdurales.

Haz click en las imágenes para verlas ampliadas

Se identifica una lesión hiperdensa de morfología redondeada en el tálamo izquierdo, con edema en su periferia y extensión a los ventriculos tercero y cuarto.

 

¿CUÁL ES EL DIAGNÓSTICO MÁS PROBABLE?