Cargando pagina por favor espere...

  Inicio   |   Contactar   |   Aviso legal  
     

Caso 06

     
 

Autor:

 

Álvaro Bascuñana Marín

 

 

DIAGNÓSTICO FINAL

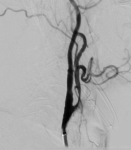
Mediante la realización de la Angiografía se constató la existencia de una ateromatosis carótida bilateral con una estenosis del 90% de ACID.

Diagnóstico final: Ictus isquémico por estenosis subtotal de arteria carótida interna

COMENTARIO

Dado que la sintomatología del paciente orienta a una posible lesión del sistema nervioso , concretamente a un ictus, el TC resultaría la prueba más adecuada a realizar, dado que es una técnica rápida para urgencias, fácil de hacer, ampliamente disponible, y con una elevada probabilidad de mostrar patologías relevantes para el diagnóstico y posterior actuación.

Del conjunto de exámenes diagnósticos que hay que llevar a cabo en la fase aguda del ictus destacan los neurorradiológicos, en concreto la TC cerebral, de una importancia vital a la hora de excluir etiologías de origen no vascular, y de distinguir entre ictus isquémico y hemorrágico.

Se ha demostrado que la realización inmediata de una TC craneal es una medida coste- efectiva en la mejora de la calidad de vida de los pacientes.

A pesar de que la TC sigue considerándose la prueba de elección para la detección de una hemorragia intracerebral, existen evidencias que indican que la RM, cuando se utilizan secuencias adecuadas (ponderadas en T2*) tiene una sensibilidad equivalente en la detección de hemorragias agudas y claramente superior en la detección de hemorragias crónicas. Sin embargo por la rapidez de realización y su sensibilidad a la hora de excluir etiologías el TC sería el método de elección.

Mediante la realización de la prueba se descartó la existencia de un ictus hemorrágico. Confirmando la naturaleza isquémica de la lesión.

Con todos estos datos obtenidos de la anamnesis , la exploración y la realización del TAC, que nos orientan hacia la existencia de un proceso isquémico , provcocado por una defecto en el riego vascular cerebral y atendiendo a la urgencia de la situación se realizó angiografía cervicocraneal.

La angiografía por sustracción digital (ASD) es la técnica de referencia en el estudio vascular intracraneal y cervical. Los estudios angiográficos obtenidos con esta técnica se adquieren inyectando de forma directa contraste yodado en la luz arterial, por lo que se requiere la cateterización previa de la arteria de interés (52). Las ventajas de esta técnica son su elevada resolución espacial y temporal, la posibilidad de estudiar de forma selectiva y superselectiva un territorio arterial, la óptima delineación de la luz arterial y, sobre todo, la posibilidad de realizar procedimientos terapéuticos oclusivos o recanalizadores. La elevada resolución espacial y temporal de las imágenes obtenidas permite visualizar ramas distales de muy pequeño calibre y valorar la existencia de los diferentes tipos de circulación colateral.

A pesar de la eficacia diagnóstica que han alcanzado los estudios vasculares no invasivos, la ASD sigue teniendo un papel esencial en el diagnóstico y caracterización de aneurismas intracraneales y malformaciones vasculares, y en la valoración previa a un posible tratamiento recanalizador de lesiones estenótico-oclusivas de los troncos supraaórticos cuando los estudios angiográficos no invasivos sean discrepantes o no conluyentes.

El Doppler/ dúplex transcraneal y de troncos supraaórticos es un procedimiento muy sensible y especiífico que se realiza en todos los pacientes que han experimentado un ictus isquémico.. El estudio carotídeo nos permitirá diagnosticar la etiología aterotrombótica del ictus isquémico y valorar tratamientos preventivos específicos como la endarterectomía carotídea. Sin embargo en este caso debido a la gravedad de la oclusión y a los criterios que cumple el paciente se decide realizar un angiografía cerebral , con el fin de localizar con la mayor exactitud la lesión y guiado por dicha técnica realizar el procedimiento de revascularización, ya que presenta contraindicación de tratamiento quirúrgico y debido al grado de estenosis el tratamiento fibrinolítico no es una opción terapéutica válida.

Denominamos ictus a un trastorno brusco de la circulación cerebral, que altera la función de una determinada región del cerebro.

Son trastornos que tienen en común su presentación brusca, que suelen afectar a personas ya mayores –aunque también pueden producirse en jóvenes– y que frecuentemente son la consecuencia final de la confluencia de una serie de circunstancias personales, ambientales, sociales, etc., a las que denominamos factores de riesgo. En cuanto a los factores de riesgo del paciente destacar la edad , el pertenecer al sexo masculino y el tabaco.

El ictus, por lo tanto, puede producirse tanto por una disminución importante del flujo sanguíneo que recibe una parte de nuestro cerebro como por la hemorragia originada por la rotura de un vaso cerebral. En el primer caso hablamos de ictus isquémicos; son los más frecuentes (hasta el 85% del total) y su consecuencia final es el infarto cerebral: situación irreversible que lleva a la muerte a las células cerebrales afectadas por la falta de aporte de oxígeno y nutrientes transportados por la sangre. Específicamente se trata de un ictus aterotrombótico.

El ictus se distingue por seis señales de alarma, tres de ellas visibles de forma evidente para aquellas personas que están con quien sufre un ictus en ese momento. Estos síntomas, que se manifiestan de forma repentina son:

1. Pérdida de fuerza o de sensibilidad en la mitad del cuerpo: desde fuera, podríamos observar que la persona tiene media cara caída, sonríe de forma asimétrica o es incapaz de sostener un objeto con el brazo de la mitad débil de su cuerpo.

2. Dificultad para hablar o para entender: quien está siendo afectado por un ictus hablará de forma ininteligible, inconexa o utilizando palabras que no encajen con el contexto. Es posible que no nos comprenda, aunque utilicemos un lenguaje sencillo.

3. Sensación de vértigo o desequilibrio: el afectado podría caerse de forma brusca.

4. Dolor de cabeza muy intenso: de inicio brusco y distinto del habitual.

5. Pérdida total o parcial de la visión, o visión borrosa.

6. Hormigueo de la cara, brazo, pierna o un lado del cuerpo.

Los síntomas del ictus se manifiestan en el lado contralateral al que se haya producido la lesión cerebral.

En cuanto al tratamiento en casos de estenosis inferior al 70% se suele realizar un manejo con tratamiento trombolítico o antiagregantes como AAS, Clopidrogel , Trifusal, etc.En ocasiones los médicos llevan a cabo una intervención endovascular de emergencia , como la extracción del coágulo con un stent intravascular. En caso de estenosis superior al 70% se lleva a cabo tratamiento intervencionista con endarterectomía + antiagregación (AAS, ticlopidina o triflusal) o Angioplastia +stent.

La revascularización de la carótida ya sea vía CEA o CAS, está indicada en pacientes sintomáticos con estenosis de la arteria carótida superior al 50% o en pacientes asintomáticos con una estenosis superior al 70%.

Atendiendo al grado de oclusión de la paciente así como a su edad y sintomatología , no esta indicada la aplicación de un tratamiento fibrinolítico , por lo que se tuvo que realizar una intervención endovascular . Concretamente una Angioplastia de arteria carótida con stent.

Este procedimiento actualmente tiene varias ventajas sobre la endarterectomía de la carótida , especialmente en pacientes con un historial de infarto de miocardio, angina o hipertensión.El clampaje temporal de la arteria carótida durante el procedimiento de CEA y la necesidad de anestesia general añaden más riesgos a los riesgos habituales de la naturaleza invasiva de la cirugía. La angioplastia de la arteria carótida con stent (CAS) como técnica mínimamente invasiva evita este tipo de factores de riesgo e igualmente tiene la ventaja de una definición detallada de la lesión durante el periodo preoperatorio, permite la evaluación con imagen de la patología tratada, inmediatamente después del tratamiento y supone una hospitalización más breve. El stent tiene una configuración de malla que evita la disección de la íntima, lo que disminuye la tasa de reestenosis y los embolismos distales tras dilatación del balón de angioplastia

Los neurorradiólogos guiados por la angiografía cerebral , realizan el procedimiento sin incidencias. Colocando un stent en carótida izquierda y permitiendo de esta manera la revascularización de la zona. El paciente permanece ingresado durante 24 horas en unidad de ictus sin complicaciones sintéticas, neurológicas, ni en punto de punción. Finalmente en situación de estabilidad clínica se decide traslado a su hospital de referencia para continuar cuidados médicos.

Haz click en las imágenes para verlas ampliadas

 

 

BIBLIOGRAFÍA

1.

Senr.org. (2019). [online] Available at: https://www.senr.org/wp-content/uploads/2015/06/Guia-de-practica-clinica-en-Neurorradiologia-Ictus-Isquemico.pdf [Accessed 9 Mar. 2019].<

2.

Ictus.sen.es. (2019). [online] Available at: http://ictus.sen.es/wp-content/uploads/2012/02/ictus_guia_sen.pdf [Accessed 9 Mar. 2019].

3.

Neurowikia.es. (2019). Angioplastia carotídea | NeuroWikia. [online] Available at: http://www.neurowikia.es/content/angioplastia-carot%C3%ADdea [Accessed 9 Mar. 2019].

4.

M. Alonso de Leciñana, J. Díaz-Guzmán, J.A. Egido, A. García Pastor, P. Martínez-Sánchez, J. Vivancos, E. Díez-Tejedor . Endovascular treatment in acute ischaemic stroke. A Stroke Care Plan for the Región of Madrid. Neurología (English Edition), Volume 28, Issue 7, September 2013, Pages 425-434

5.

Protocolo de Tratamiento del ictus. Medicina Interna. Complejo Hospitalario Universitario de Albacete [Internet]. Chospab.es. 2019 [cited 11 March 2019]. Available from: http://www.chospab.es/area_medica/medicinainterna/PROTOCOLOS/ictus.htm

6.

Navarrete Navarro P, Pino Sánchez F, Rodríguez Romero R, Murillo Cabezas F, Jiménez Hernández M. Manejo inicial del ictus isquémico agudo . Med intensiva vol.32; Nº 9; Diciembre 2008

Finalizar