Cargando pagina por favor espere...

  Inicio   |   Contactar   |   Aviso legal  
     

Caso 40

     
 

Autor:

 

Jaime Pérez Bautista

 

 

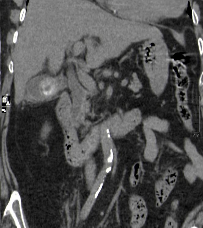
El TC abdominal nos ofrece una gran visión sobre las estructuras anatómicas y la capacidad de discernir diferentes órganos y es una técnica no invasiva.

Haz click en las imágenes para verlas ampliadas