Cargando pagina por favor espere...

  Inicio   |   Contactar   |   Aviso legal  
     

Caso 58

     
 

Autor:

 

Irene Salazar Saura

 

 

En primer lugar, en un paciente que presente síntomas respiratorios, se realiza de forma protocolizada una radiografía de tórax. No obstante, en el caso del TEP, esta suele aparecer normal o con signos inespecíficos. Es por esto que se utiliza para descartar otros hallazgos que puedan dar sintomatología parecida, pero no confirma el diagnóstico de TEP.

En cuanto al electrocardiograma, se trata de una prueba también poco inespecífica para la confirmación de un TEP. No obstante, sí que se observan frecuentemente algunos trastornos del ritmo asociados al TEP, como taquicardias sinusales.

En el análisis de laboratorio, suelen observarse algunas alteraciones, en las que destaca la elevación del Dímero-D, si bien sigue formando parte de la evaluación inicial de un paciente con sospecha de TEP, no confirmando el diagnóstico.

La ecocadiografía es útil para la identificación de datos indirectos de TEP, como son la dilatación ventricular, la hipertensión arterial pulmonar, y los signos de sobrecarga del ventrículo derecho. No obstante, por su baja sensibilidad, no es la técnica de elección.

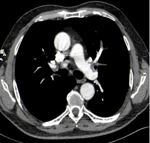
Actualmente, el Angio-TAC es el método diagnóstico más empleado para confirmar un TEP, y es la primera opción siempre que se encuentre disponible, al presentar una sensibilidad de 83-90% y especificidad de 90-96%. Permite, además, valorar el parénquima pulmonar y otras estructuras torácicas que puedan causar el cuadro del paciente.

Haz click en las imágenes para verlas ampliadas

 

Se realiza TAC torácico al paciente, con contraste intravenoso y protocolo angiográfico. Los hallazgos se muestran en las siguientes imágenes. ¿Cuál es el principal hallazgo radiológico que se observa?: