Cargando pagina por favor espere...

  Inicio   |   Contactar   |   Aviso legal  
     

Caso 57

     
 

Autor:

 

Juan Almagro Saorín

 

 

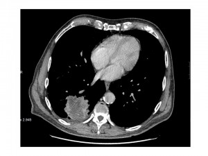
Justificación: Debemos realizar un TC para observar la lesión con mayor precisión. El TC nos permite delimitar con claridad la morfología de la lesión y confirmar qué estructuras están afectadas y la extensión a distancia.Como vemos se trata de una masa y será necesario realizar una BAG eco-guiada, pero para ello previamente habremos evaluado el TC.

Haz click en las imágenes para verlas ampliadas

 

¿Qué observas en las siguientes imágenes?