Cargando pagina por favor espere...

  Inicio   |   Contactar   |   Aviso legal  
     

Caso 49

     
 

Autor:

 

Ana Sánchez Espallardo/María Ángeles Saura Nuñez

 

 

DIAGNÓSTICO FINAL

Haz click en las imágenes para verlas ampliadas

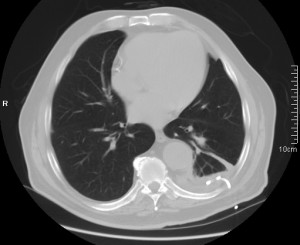
Informe TC: colección líquida periférica encapsulada con aire en su interior y de morfología redondeada.

Diagnóstico final: EMPIEMA PLEURAL.

Comentarios:

El empiema es definido como la presencia de infección bacteriana en el espacio pleural. A pesar de los importantes avances en el campo de los antibióticos y las nuevas técnicas quirúrgicas, actualmente esta patología aún se asocia a una importante morbimortalidad. Norma es asociado con pneumonia, pero también después de una cirugía torácica o un trauma torácico.

Se caracteriza por pus cremoso amarillo o verde, loculado, compuesto por masas de neutrófilos mezclados con otros leucocitos. Aunque el empiema puede acumularse en volúmenes grandes , el volumen suele ser pequeño y el pus queda localizado. El empiema puede resolverse, pero, con mayor frecuencia, el exudado se organiza en adherencias fibrosas tensas y densas que obliteran el espacio pleural o envuelven los pulmones. En ambos casos, restringen gravemente la expansión pulmonar.

La solución terapéutica del empiema es la colocación de un tubo de drenaje pleural. El empiema tiene que drenarse siempre ne su totalidad. En las siguientes imágenes se observa el tubo colocado y cómo la colección ha disminuido.

Haz click en las imágenes para verlas ampliadas

 

 

BIBLIOGRAFÍA

1.

Garvia V, Paul M. Empyema. 2017 Oct 16. StatPearls [Internet]. Treasure Island (FL): StatPearls Publishing; 2018 Jan-. Available from http://www.ncbi.nlm.nih.gov/books/NBK459237/ [Accessed 11 April 2018].

2.

Kumar V, Abbas A, Fausto N, Robbins S, Cotran R. Patologi?a estructural y funcional. Barcelona: Elsevier; 2015.

3.

Salguero a, J, Cardemil , G, Molina, J.C, Lembach, H, FernÁndez, J. Empiema Pleural: Etiología, tratamiento y complicaciones. Revista chilena de cirugía. [Online] 2009;61(3): 223-228. Available from: https://scielo.conicyt.cl/scielo.php?script=sci_arttext&pid=S0718-40262009000300003[Accessed 12 April 2018].

Finalizar