Cargando pagina por favor espere...

  Inicio   |   Contactar   |   Aviso legal  
     

Caso 48

     
 

Autor:

 

Eva Barranquero Tomás/Blanca Gómez Gozálvez

 

 

La técnica indicada ante los hallazgos de en la Rx de masas pulmonares anormales es el TC de tórax y abdomen. Esta técnica además de confirmar y caracterizar lesiones ya vistas en la radiografía, permite estudiar el intersticio pulmonar en gran detalle.

Haz click en las imágenes para verlas ampliadas

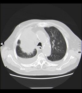
Descripción de los hallazgos radiológicos

Tórax:

* Encontramos una masa pulmonar parahiliar superior derecha de unos 10 x 6 cms, que contacta con mediastino al que infiltra;también vemos nódulos pulmonares bilaterales compatibles con metástasis de la masa parahiliar derecha.

* Derrame pleural bilateral algo mayor derecho, con diámetro máximo de 2 cms.

* No derrame pericárdico.

* Se observan varias adenopatías mediastínicas que oscilan entre 6 mm y 15 mm en su eje corto; Las estructuras vasculares mediastínicas presentan un calibre normal.

* Con filtro óseo, no se observan imágenes que sugieran metástasis. Cambios degenerativos.

* Calcificación de la pared de la aorta abdominal.

Abdomen:

* Hígado de tamaño normal y densidad homogénea.

* En segmento II se observa imagen hipodensa (12 UH) de unos 3 cms indicativa de quiste.