Cargando pagina por favor espere...

  Inicio   |   Contactar   |   Aviso legal  
     

Caso 43

     
 

Autor:

 

Irene Martínez Pérez/Rafael Tello Torres

 

 

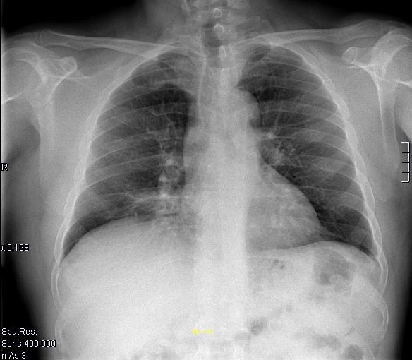
COMENTARIOS: la técnica base para el estudio de la patología torácica es la radiografía simple de tórax. Las dos proyecciones más empleadas son: posterior-anterior y lateral. En nuestro caso, la clínica del paciente sugiere patología pulmonar. Por ello, es recomendable escoger la radiografía simple de tórax como técnica inicial.

El estudio de la radiografía de tórax debe realizarse de forma ordenada. Es útil seguir un esquema lógico para no pasar por alto ninguna alteración. A continuación, está expuesto un esquema estructurado y adecuado para el análisis de las imágenes:

* ¿Se observa el parénquima pulmonar bien aireado y bilateralidad simétrica?

* ¿Se ven nódulos o infiltraciones en el parénquima?

* ¿Son los senos costofrénicos y cardiofrénicos normales?

* ¿Tienen las vértebras dorsales inferiores menor densidad que las superiores?

* ¿Es la silueta cardiomediastínica normal?

* ¿Son los hilios normales y bilateralmente simétricos en tamaño y densidad?

¿Son el esqueleto y las partes blandas regionales normales?

Haz click en las imágenes para verlas ampliadas

 

¿Cuáles son los hallazgos radiológicos encontrados en la Rx PA de tórax?