Cargando pagina por favor espere...

  Inicio   |   Contactar   |   Aviso legal  
     

Caso 33

     
 

Autor:

 

Valentina García Vira/Elena Martínez Orenes

 

 

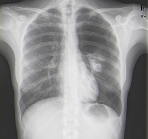
La radiografía es la primera opción por su rapidez, facilidad y coste. Se elige las posiciones anteroposterior y lateral para obtener información más completa y poder localizar la lesión en todos los ejes.

Haz click en las imágenes para verlas ampliadas