Cargando pagina por favor espere...

  Inicio   |   Contactar   |   Aviso legal  
     

Caso 26

     
 

Autor:

 

María Victoria García Florenciano

 

 

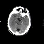
Razonamiento: Necesitamos valorar estas lesiones con contraste yodado intravenoso, para demostrar el realce de distintas estructuras como infartos, inflamaciones, infecciones o tumores.

Haz click en las imágenes para verlas ampliadas

Hallazgos radiológicos

Se visualiza Realce con contraste de varias lesiones nodulares, y “en anillo” de la lesión de mayor tamaño.

Razonamiento: Vemos lesiones captantes nodulares, bilaterales, cerebelosa derecha y occipital y parietal izquierdas, con edema perilesional.