Cargando pagina por favor espere...

  Inicio   |   Contactar   |   Aviso legal  
     

Caso 13

     
 

Autor:

 

Daniel Gómez Navarro

 

 

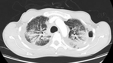
Realizamos TC con contraste yodado i.v. porque ofrece una resolución mucho mayor que la de la Rx de tórax, permitiéndonos valorar mejor la patología intersticial del paciente, así como confirmar que se trata de un neumotórax (pues veíamos una zona muy hipodensa). Además, esta técnica casi siempre se suele utilizar con contraste yodado, salvo en pacientes con riesgo de desarrollar una nefropatía aguda (si padece diabetes o enfermedad renal crónica, no siendo el caso de este paciente).

Haz click en las imágenes para verlas ampliadas