Cargando pagina por favor espere...

  Inicio   |   Contactar   |   Aviso legal  
     

Caso 06

     
 

Autor:

 

Iván García Ruiz

 

 

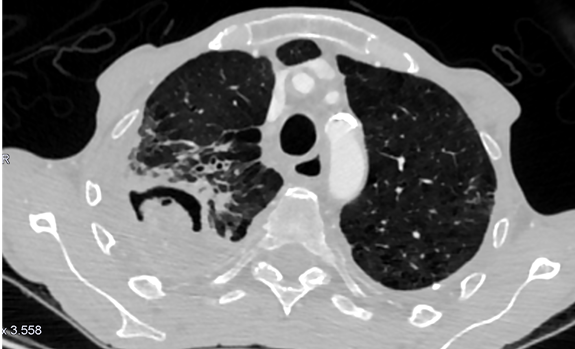
Es necesaria una prueba rápida, coste-beneficio rentable y que permita elegir un tratamiento empírico hasta obtener el diagnóstico de certeza: por ello elegimos la tomografía computarizada.

Haz click en las imágenes para verlas ampliadas