Cargando pagina por favor espere...

  Inicio   |   Contactar   |   Aviso legal  
     

Caso 06

     
 

Autor:

 

Clara de Arriba Heras

 

 

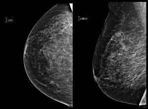
Las pacientes diagnosticadas de carcinoma mamario y que han pasado por una cirugía mamaria conservadora deben realizarse una mamografía anual. Esto es así porque este grupo de pacientes tienen un elevado riesgo de desarrollar recurrencias locales o nuevos tumores, y la mamografía es la única prueba que ha demostrado su eficiencia en la detección precoz de estas patologías.

Haz click en las imágenes para verlas ampliadas