Cargando pagina por favor espere...

  Inicio   |   Contactar   |   Aviso legal  
     

Caso 03

     
 

Autor:

 

Jose Valverde Fuentes

 

 

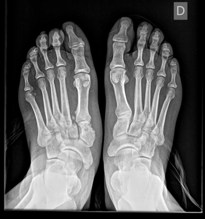
La prueba de elección sería la radiografía ya que nos permite ver las lesiones en hueso, a dosis bajas de radiación, en comparación con otras pruebas más específicas como el TC. Recordar que hablamos en todo momento de lesiones en el pie, donde las más frecuentes son las de tipo óseo.

El estudio que se utiliza con más frecuencia es la radiografía simple: pie en proyección anteroposterior y lateral con apoyo.

Haz click en las imágenes para verlas ampliadas