Cargando pagina por favor espere...

  Inicio   |   Contactar   |   Aviso legal  
     

Caso 27

     
 

Autor:

 

Pablo Martínez Albaladejo

 

 

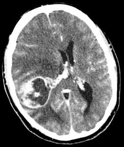
El método diagnóstico de primera elección en procesos de instauración aguda en el encéfalo es el TC craneal. La Tomografía Computarizada es una prueba rápida, barata y de alta disponibilidad que nos permite valorar de forma rápida y con alta sensibilidad las posibles lesiones. En este caso, el TC nos permite descartar si el paciente sufre un cerebrovascular.

La RMN, a pesar de ser mucho más sensible, no está indicada al ser una técnica más cara, lenta y con una disponibilidad menor.

Haz click en las imágenes para verlas ampliadas