Cargando pagina por favor espere...

  Inicio   |   Contactar   |   Aviso legal  
     

Caso 25

     
 

Autor:

 

FRANCISCO MARTÍNEZ GARCÍA

 

 

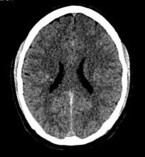
Ante un cuadro de déficit neurológico agudo la prueba de elección que se solicita es una TC cerebral, pues es la técnica ideal para realizar un cribado rápido de pacientes en los que requiere una evaluación rápida del tejido nervioso, se necesita agilidad y resolución inicial de la prueba. Se trata de un método diagnóstico fácil, accesible y disponible en la práctica totalidad de los servicios de urgencia hospitalarios, al contrario de lo que ocurre en la RM, una técnica lenta y muy costosa. Con la TC podemos obtener información detallada acerca de lesiones craneales como infartos, tumores y otras lesiones que no pueden ser diagnosticadas por la radiología simple.

Haz click en las imágenes para verlas ampliadas