Cargando pagina por favor espere...

  Inicio   |   Contactar   |   Aviso legal  
     

Caso 58

     
 

Autor:

 

Valentina García Vira/Elena Martínez Orenes

 

 

DIAGNÓSTICO FINAL

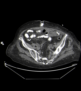
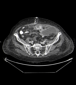
Se realiza procedimiento quirúrgico resolutivo de la obstrucción intestinal, y se procede a colocar drenaje con pig-tail para evacuar el absceso peritoneal izquierdo encontrado en las imagenes de control:

Haz click en las imágenes para verlas ampliadas

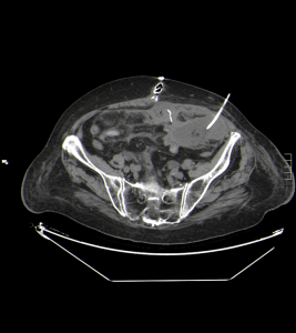
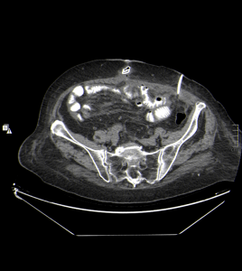
Posteriormente, se realiza un control tras 4 días a partir del momento de la colocación del catéter de drenaje, gracias al cual se obtienen las siguientes imágenes:

Haz click en las imágenes para verlas ampliadas

Se realiza estudio de TC abdominopélvico con contraste oral, se compara con anterior, apreciándose, mejoría, con resolución prácticamente total de la colección de FI izquierda, visualizándose el catéter pig-tail, bien posicionado. No se evidencia dilatación de asas intestinales, se visualiza transito intestinal conservado sin extravasación del contraste.

DIAGNÓSTICO FINAL: ILEO MECÁNICO CON ABSCESO POSCIRUGÍA

 

 

BIBLIOGRAFÍA

1.

Ciriza M, Ezcurra M, Insausti I. Indicaciones de la Rx Simple. Servicio Navarro de Salud. Libro electrónico de Temas de Urgencia.

2.

Artigas J, Martí M, Rodríguez C, Marquina D, Parrilla P. Radiografía del abdomen en Urgencias. ¿Una exploración para el recuerdo?. Radiologia 2015;57:380-90 – DOI: 10.1016/j.rx.2015.06.002

3.

Cano J, Baño R. Exploraciones Radiológicas del Abdomen en TAC. Fesitess Andalucía. ISBN: 978-84-694-4217-3

4.

Pinedo E, Coronado M. Anatomía del abdomen mediante tomografía computarizada. Rev Esp Med Nucl. 2008;27(1):47-62

Finalizar